Central Serous Retinopathy (CSR) is a condition that can disrupt vision by causing fluid buildup under the retina, often leading to blurry or distorted sight. While conventional medical treatments are available, many individuals are exploring natural methods as a complementary approach to improve their eye health. These natural strategies focus on holistic healing, emphasizing the importance of lifestyle modifications, nutritional support, and herbal therapies. By addressing the root causes of this issue, CSR eye treatment natural and promotes overall well-being which offers a promising pathway for those seeking to enhance their vision health and regain clarity in their lives
What is Central Serous Retinopathy (CSR)?
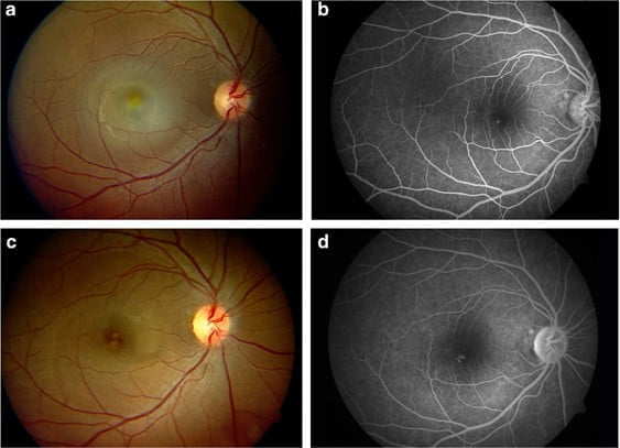
Central Serous retinopathy (CSR) is a retinal condition characterized by fluid accumulation under the retina, leading to visual disturbances. It primarily affects young to middle-aged adults and can result in blurred or distorted vision. Understanding CSR is crucial for effective management and treatment.
- Causes: Often linked to stress, hormonal changes, and certain medications.
- Symptoms: Includes blurred vision, central scotoma, and also the color distortion.
- Diagnosis: Typically diagnosed through optical coherence tomography (OCT) and fluorescein angiography.
- Treatment Options: May include observation, lifestyle changes, and natural therapies.
- Prognosis: Many cases resolve spontaneously, but recurrent episodes are possible.
- Prevention: Stress management and regular eye check-ups can help reduce risk.
- Natural Remedies: Ayurvedic and holistic approaches focus on overall health improvement.
How do natural methods address the underlying causes of CSR?
Natural methods for Central Serous retinopathy (CSR) focus on holistic healing to address root causes and improve vision health.
- Stress Reduction: Yoga and meditation lower cortisol levels.
- Dietary Changes: Antioxidant-rich foods support retinal health.
- Herbal Remedies: Certain herbs enhance circulation and alleviate symptoms.
- Acupuncture: Restores energy flow, potentially improving eye function.
- Lifestyle Modifications: Adequate sleep and reduced screen time benefit eye health.
- Hydration: Proper fluid intake helps maintain retinal function.
- Regular Monitoring: Ongoing assessments detect changes in vision early.
What role do dietary changes play in improving vision health for CSR patients?
Dietary changes play a significant role in improving vision health for patients with Central Serous retinopathy (CSR). A balanced diet rich in specific nutrients can help address the underlying causes and support overall eye function.
- Antioxidants: Foods high in vitamins C and E combat oxidative stress.
- Omega-3 Fatty Acids: Found in fish, they support retinal health and reduce inflammation.
- Lutein and Zeaxanthin: Present in leafy greens, they filter harmful blue light.
- Vitamin A: Essential for good vision, found in carrots and sweet potatoes.
- Zinc: Supports retinal health and is found in nuts and legumes.
- Hydration: Adequate water intake prevents dry eyes and supports overall function.
- Low Glycemic Index Foods: Stabilize blood sugar levels, reducing fluid buildup risks.
- Whole Grains: Provide essential nutrients without the spikes in blood sugar.
- Fruits and Vegetables: Rich in nutrients that promote eye health and reduce disease risk.
- Balanced Diet: Overall nutritional balance enhances immune function and reduces stress impacts.
Which herbal remedies and supplements are beneficial for CSR treatment?
Here are some of the herbal remedies and supplements beneficial for Central Serous retinopathy (CSR).
- Punarnavadi Kashaya: 20 ml with warm water, helps reduce swelling.
- Chandraprabhavati: 2 tablets, alleviates Kapha and Pitta doshas.
- Tiktaka Ghrita: 10 ml with rice gruel, balances Pitta and Kapha doshas.
- Kalyanaka Ghrita: 10 ml with rice gruel, addresses all three doshas.
- Gandharvahastadi Taila: 50 ml with warm milk, aids in purgation.
- Anutailam: 2 drops, balances all three doshas.
- Siropichu: 10 ml oil application, alleviates Vata dosha.
- Anjana Karma: 1 drop of collyrium, used for eye health.
- Triphala Churna: Promotes eye rejuvenation when taken with ghee and honey.
- Ghee and Honey: Enhance overall eye health and support recovery.
What Ayurvedic treatments are effective for CSR, and how do they work?
Ayurvedic treatments for Central Serous retinopathy (CSR) focus on restoring balance in the body and alleviating the condition’s symptoms. By utilizing a combination of herbal remedies, dietary adjustments, and therapeutic procedures, Ayurveda aims to improve visual acuity and promote overall eye health.
- Punarnavadi Kashayam: Herbal decoction that reduces edema and inflammation.
- Chandraprabha Vati: Tablets that balance doshas and support eye health.
- Tiktaka Ghrita: Medicinal ghee that nourishes the eyes and clears toxins.
- Shiropichu: Application of medicated oil on the scalp to relieve stress.
- Anjana Karma: Collyrium treatment that enhances vision and soothes the eyes.
- Snehana Karma: Oleation therapy to detoxify and nourish the body.
- Virechanam: Purgation therapy that helps eliminate excess toxins from the body.
- Triphala Churna: Herbal powder that rejuvenates the eyes and supports digestion.
- Netra Tharpanam: Eye treatment involving medicated ghee to nourish retinal tissues.
- Sirodhara: Pouring warm oil on the forehead to promote relaxation and reduce stress.
- Yoga and Meditation: Practices that enhance mental well-being and reduce stress levels.
- Dietary Adjustments: Emphasis on antioxidant-rich foods to support retinal health.
- Hydration: Adequate water intake to maintain overall eye function.
- Avoidance of Aggravating Foods: Steering clear of spicy, fried, and processed foods.
- Regular Monitoring: Ongoing assessments to track visual changes and treatment efficacy.
- Holistic Approach: Focus on balancing body, mind, and spirit for comprehensive healing.
These treatments work synergistically to address both symptoms and root causes, promoting long-term eye health.
How can stress reduction techniques enhance recovery from CSR?
Stress reduction techniques play a vital role in enhancing recovery from Central Serous retinopathy (CSR). High-stress levels can exacerbate the condition, making effective stress management essential for healing and overall well-being.
- Mindfulness Practices: Engaging in mindfulness helps individuals stay present, reducing anxiety and promoting relaxation.
- Meditation: Regular meditation fosters mental clarity and emotional stability, which can alleviate stress-related symptoms.
- Deep Breathing Exercises: These techniques activate the body’s relaxation response, lowering heart rate and promoting calmness.
- Physical Activity: Exercise releases endorphins, improving mood and reducing feelings of stress and anxiety.
- Yoga: Combines physical movement with breath control, enhancing both physical and mental health.
- Adequate Sleep: Prioritizing restful sleep is crucial for recovery, as it helps regulate stress hormones.
- Healthy Diet: Nutrient-rich foods support overall health and can mitigate the effects of stress on the body.
- Social Support: Building strong relationships provides emotional support, reducing feelings of isolation and stress.
- Time Management: Effective organization of tasks can minimize overwhelm and enhance productivity.
- Relaxation Techniques: Methods like progressive muscle relaxation help release tension in the body.
- Engaging Hobbies: Pursuing enjoyable activities can serve as a distraction from stressors and promote joy.
- Nature Exposure: Spending time outdoors has been shown to reduce stress levels and improve mood.
- Limiting Stimulants: Reducing caffeine and sugar intake can help stabilize mood and energy levels.
- Therapeutic Practices: Techniques such as acupuncture or massage therapy can relieve physical tension and emotional stress.
- Journaling: Writing about thoughts and feelings can provide clarity and reduce anxiety.
By incorporating these techniques into daily routines, individuals with CSR can effectively manage stress, fostering an environment conducive to healing.
Conclusion
So, the natural methods for treating Central Serous retinopathy (CSR) offer a holistic approach that emphasizes overall well-being and addresses root causes. Prakash Nethralaya provides a range of Ayurvedic treatments, herbal remedies, and lifestyle modifications that can significantly enhance vision health. By integrating stress reduction techniques, dietary changes, and targeted herbal therapies, patients can experience improved outcomes and potentially prevent recurrence. This comprehensive strategy which involves CSR eye treatment natural that not only aids in recovery but also fosters a sustainable path toward long-term eye health.
For further details book an online consultation at Prakash Nethralaya.




